优案医评丨双肺叶移植术后突发感染性休克,几番更改抗菌方案才转危为安

感染医线 发表时间:2023/10/12 20:11:07

编者按:肺移植是治疗多数终末期肺病的唯一有效手段,感染是影响肺移植成功率的重要因素,可发生于移植术后任何时间。细菌感染是肺移植术后最常见的感染类型,术后第1个月是细菌感染发生的高峰期。近年来日趋严重的细菌耐药形势为肺移植受者的抗感染治疗带来了更大挑战。以碳青霉烯耐药革兰阴性杆菌(CRO)为代表的多重耐药(MDR)菌是导致受者移植物切除、死亡等的主要病原体。本期“优案医评”栏目特邀广州医科大学附属第一医院巨春蓉教授对一例双侧肺叶移植患者的术后抗感染治疗进行点评。该患者在双侧肺叶移植术后发生碳青霉烯耐药鲍曼不动杆菌(CRAB)感染,并在短时间内出现感染性休克,在头孢哌酮/舒巴坦+替加环素抗感染无效的情况下,新型抗菌药物依拉环素的联合用药方案迅速控制了感染,使患者转危为安。
 
病例介绍
 
患者:女,57岁,血型O型,Rh(+)。
 
主诉:进行性咳嗽咳痰伴气喘6月余。
 
现病史:患者2022年11月单位体检发现“两肺间质炎症”,当时无明显咳嗽、咳痰、气喘等症状。12月开始出现咳嗽,咳白痰,夜间明显,当时气喘症状不明显,未重视。2023年1月开始出现气喘,多于活动如步行200~300米后气喘,休息后可缓解,至当地医院A住院进一步治疗,住院期间完善相关检查后诊断为:干燥综合征,皮肌炎,结缔组织相关肺间质纤维化。后转至上海XX医院风湿科,予以甲强龙抗炎、吡菲尼酮抗肺纤维化、托法替布缓解病情等治疗,经治疗后气喘症状较前好转。之后规律在上海XX医院复诊治疗。今年4月又因咳痰喘症状加重在当地医院B住院,考虑合并感染,病原学提示:白色念珠菌、耶氏肺孢子菌、人类疱疹病毒,请外院专家会诊后,予磺胺甲噁唑(SMZ)+卡泊芬净抗真菌、阿昔洛韦抗病毒、莫西沙星抗细菌等治疗,同时予以甲强龙40 mg q12h、吡菲尼酮抗肺纤维化等治疗,后予泼尼松20 mg维持,住院期间肺动脉CT血管成像(CTA)提示双侧肺动脉部分小及微小分支充盈欠佳,肺栓塞待排,予以肝素抗凝治疗,后改为利伐沙班20 mg口服。患者有肺移植手术意愿,来院行肺移植术前评估。
 
既往史:患者有高血压病史1年余,最高血压160/90 mmHg。
 
个人史:无烟酒不良嗜好。
 
一般状况:身高153 cm,体重54.4 kg,BMI 23.24。
 
▌辅助检查:
 
血气分析:Fio2 35%,pH 7.42,PCO2 40.4 mmHg,PO2 66 mmHg,氧合指数188。
 
血常规:白细胞计数(WBC)11.15×109/L、红细胞计数(RBC)3.43×1012/L、血红蛋白(HGB)101.0 g/L、血小板计数(PLT)420×109/L,中性粒细胞计数(ANC)7.61×109/L、淋巴细胞计数(LYM)2.48×109/L。
 
血生化:谷丙转氨酶(ALT)51 U/L、γ-谷氨酰基转移酶(GGT)67 U/L、乳酸脱氢酶(LDH)347 U/L、总蛋白(TP)59.3 g/L、空腹血糖(FBG)3.49 mmol/L。
 
痰培养:正常菌群生长。
 
C-反应蛋白(CRP)、尿粪常规、糖化血红蛋白、血浆D-二聚体、凝血功能、pro-BNP、心梗三项、降钙素原(PCT)正常。
 
EB病毒抗体分型:EB病毒衣壳抗原IgG抗体239.00 μ/ml,EB病毒核心抗原IgG抗体>600 μ/ml,EB病毒核心抗原IgA 1.83COI。
 
EB病毒DNA:5.03×103 copies/ml。
 
单纯疱疹病毒抗体:单纯疱疹病毒Ⅰ型IgG抗体阳性。
 
巨细胞病毒IgG抗体:阳性。
 
淋巴细胞亚群:淋巴细胞总数2009.0个/UL,辅助T淋巴细胞920.0个/UL。
 
乙肝五项:乙肝核心抗体>7.36 IU/ml。
 
肿瘤指标:非小细胞肺癌相关抗原21-1(CYFRA21-1) 5.45 ng/ml,CA-125 99.23 μ/ml,CA-199 45.47 μ/ml,神经元特异性烯醇化酶11.10 ng/ml。
 
痰找抗酸杆菌、结核T-spot:阴性。
 
风湿组合:血沉42.00 mm/h、ENA 12项(SSA/Ro52KD阳性,余阴性)、抗核抗体(ANA)261.0 AU/ml、余类风湿因子、抗“O”、抗环瓜氨酸肽抗体、抗心磷脂总抗体、抗中性粒细胞胞浆抗体、抗蛋白酶3抗体IgG、抗髓过氧化物酶抗体IgG、抗肾小球基底膜抗体IgG阴性。
 
特异性肌炎肌病谱:抗PL-12抗体IgG+++,抗Ro-52抗体IgG+++
 
丙肝抗体、乙肝DNA定量、呼吸道病毒九项、甲状腺五项、艾滋、梅毒、细菌内毒素、G试验、GM试验、免疫组合、群体反应性抗体无异常。
 
6分钟步行试验:吸氧5 L/min,100米,最低血氧饱和度80%,最快心率122次/分,限制原因:低氧、咳嗽。
 
骨密度:骨质疏松,T-3.1。
 
心脏超声:左房增大,室间隔基底部增厚,二尖瓣轻度返流,三尖瓣轻度返流,EF64%,估测肺动脉压力约30 mmHg。
 
肺动脉CTA(2023-05 当地医院B)提示双侧肺动脉部分小及微小分支充盈欠佳,肺栓塞待排。
 
肺功能:用力肺活量(FVC)实测0.9 L,实测/预计38%,1 秒用力呼气量(FEV1)实测0.82 L,实测/预计41%,FEV1/FVC 90.7%,肺一氧化碳弥散量(DLCO)实测0.68 mmol/min/kPa,实测/预计10%,一氧化碳转运指数(DLCO/VA)1.16 69%。
 
冠脉CTA:总冠脉积分0,冠状动脉CTA狭窄及斑块情况:LAD中段壁冠状动脉,CAD-RADS:0,心脏增大,两肺散在炎症。
 
PET-CT(2023-02-08 上海XX诊断中心):双肺间质性肺炎,双侧乳腺增生,左乳钙化灶,左肾囊肿可能,左肾结石,子宫肌瘤病变可能。
 
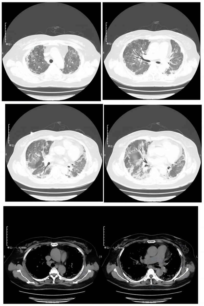
图1. 外院胸部CT
 
▌初步诊断:
 
1. 结缔组织肺间质纤维化
 
2. 干燥综合征
 
3. 皮肌炎
 
4. 肺栓塞(双)
 
5. 高血压2级(中危)
 
诊治过程
 
▌肺叶移植手术
 
入院后完善相关检查,2023-08-17行静脉-静脉体外膜肺氧合(V-V ECMO)辅助下双肺叶移植术(右上下肺叶+左上肺叶移植)。手术时间6小时,右肺冷缺血时间为6小时40分钟,左肺冷缺血时间为9小时20分钟。术中失血800 ml,输血1200 ml。
 
▌抗感染治疗过程
 
肺移植围手术期以院内获得性感染为主,致病菌以MDR革兰阴性杆菌(G-菌)多见,革兰阳性球菌(G+菌)中金黄色葡萄球菌最为常见,此外还可混合感染假丝酵母菌、曲霉等真菌感染。因此术后初始抗感染采用亚胺培南/西司他丁(1.0 g,q8h)+万古霉素(1.0 g,q12h)抗细菌治疗,卡泊芬净(50 mg,qd)抗真菌治疗。
 
2023-08-20患者术后出现重度原发性移植物失功(PGD)、肺水肿严重,ECMO支持同时俯卧位通气,利尿负平衡,纤维支气管镜下气道内痰液增多。痰液细菌培养结果显示鲍曼不动杆菌阳性,耐药类型为碳青霉烯耐药鲍曼不动杆菌(CRAB),药敏结果显示多西环素(MIC≤0.5 μg/mL)、米诺环素(MIC≤1 μg/mL)、替加环素(MIC=2 μg/mL)敏感,左氧氟沙星(MIC=4 μg/mL)和黏菌素(MIC=2 μg/mL)中介,其余检测药物均耐药(图2)。根据痰液细菌培养结果调整抗感染方案,停用亚胺培南/西司他丁、万古霉素,调整为头孢哌酮/舒巴坦、替加环素、卡泊芬净。V-V ECMO支持6日后撤除。
 
图2. 咽拭子培养结果
 
2023-08-21及2023-08-24痰液细菌培养结果仍显示鲍曼不动杆菌阳性,耐药类型为CRAB,此外有少量G-菌和少量G+菌。2023-08-26(术后8天)患者凌晨出现高热、血压下降,给予降温度毯应用,去甲肾上腺素最大加至1.5 μg/kg/min。WBC(27.83×109/L)、CRP(279 mg/L)、PCT(17.01 ng/ml)同步升高,停用头孢哌酮/舒巴坦、替加环素,当时考虑尽管痰液细菌培养为CRAB,但仍需警惕CRKP感染的可能,因此将抗菌药物调整为头孢他啶/阿维巴坦(1.25 g,q8h)、依拉环素(50 mg,q12h)、卡泊芬净。留取痰液、血液送细菌学检查。给予丙种球蛋白调整免疫功能,他克莫司减量。
 
图3. 痰培养结果
 
调整抗感染后,并给予补充胶体晶体(人血白蛋白、醋酸钠林格试液)。患者26日当晚体温下降,停用降温毯;循环趋于稳定,去甲肾上腺素减量至0.5 μg/kg/min;肾损伤未加重,乳酸水平逐步下降。后因患者脱机困难,于2023-08-30行气管切开术。2023-09-01抗菌方案调整为哌拉西林/他唑巴坦、依拉环素。2023-09-06患者情况好转并转回移植科病房
 
病例小结
 
患者术后早期出现重度PGD,应用V-V ECMO同时行俯卧位通气,并予液体负平衡,患者渡过了肺水肿高峰。但是,该患者之后出现肺部感染、感染性休克,多次痰液培养结果提示CRAB感染,在初始目标性治疗无效后,加用依拉环素的抗菌方案治疗后获得了显著疗效,患者感染情况得到快速控制。安全性方面,本例患者出现了急性肾损伤,用药时根据肌酐清除率调整了抗菌药物剂量,感染好转后肾功能恢复。
 
名师点评
 
该病例对于终末期间质性肺疾病患者进行了双侧肺叶移植,术后需严密监测非感染性并发症及感染性并发症。在围手术期的术后72小时内,PGD是肺移植受者首要并发症及主要死亡原因之一。该患者早期经历了严重PGD,经过长时间ECMO辅助、俯卧位通气、严格的液体管理等一系列治疗措施后顺利渡过了肺水肿高峰,PGD等非感染性并发症得到有效治疗。但是,患者之后出现重症感染、感染性休克,多次培养结果提示CRAB感染,感染指标增高明显,在初期采用经验性抗感染方案治疗,治疗无效,之后根据病原学结果予以精准化抗感染治疗,加用依拉环素抗感染治疗后获得了显著疗效,感染性并发症最终得到控制。
 
器官移植受者这类免疫抑制宿主,需要长期使用免疫抑制剂来预防和治疗排斥反应,因此,这类人群免疫(包括细胞免疫及体液)功能都极为低下,继发各种病原体感染的风险显著增加,尤其在术后早期。器官移植术约有80%以上的受者至少出现过一次临床感染,40%的围手术期死亡原因是感染,或其它并发症同时合并感染。感染的病原学之中,细菌感染是最常见的;细菌感染可以单独反复发生,或与其它病原体混合感染。与肝移植、肾移植等其它器官移植受者相比,肺移植受者面临感染的风险更高。以下几种宿主和环境因素会增加这种风险:(1)移植肺通过气道直接与外界相通,持续暴露于自然界的各种病原体包括细菌;(2)移植肺异常的解剖和生理功能(即肺移植手术导致纤毛清除功能受损,咳嗽反射迟钝和去神经损伤);(3)移植术后早期,由于伤口疼痛、身体多处管道的留置、心理惧怕等因素,患者自主咳嗽及排痰的功能下降。
 
对于肺移植受者来说,移植术后的30天~1年内,肺部感染不仅是最主要的并发症,而且是导致患者死亡的首位原因。肺移植受者术后早期的感染一旦发生,往往以耐药菌为主,病情进展迅速,死亡率高。本例患者感染的耐药菌为CRAB,属于肺移植受者术后早期感染的常见耐药菌,也是具有治疗挑战的耐药菌;我们可以看到即便是药敏结果提示敏感的替加环素,在临床实践也并未获得预期的治疗效果,可见CRAB感染的治疗难度之大。
 
MDR菌尤其是CRAB是目前我国大多数三甲医院重症感染患者的常见病原体,耐药形式严峻。针对CRAB,在传统的抗菌药物“束手无策”的情况下,我们需要关注新型抗菌药物。近年来,国内有2款新型抗菌药物获批上市,即头孢他啶/阿维巴坦和依拉环素,而其中能够覆盖鲍曼不动杆菌的药物是依拉环素。头孢他啶/阿维巴坦是一种新型酶抑制剂复合制剂,对常见的肠科杆菌属包括CRKP具优势,因此本病例的初始治疗中,临床医生初始选择了该药治疗;但该药并不能覆盖本例患者存在的CRAB,因此又联合了依拉环素进行治疗。依拉环素对临床常见的耐药菌均表现出良好的抗菌活性,其MIC分布普遍较低,显著低于传统的同类抗生素替加环素,而且,肺组织内的药物浓度显著高于替加环素。因此,该患者改用依拉环素治疗后,感染迅速得到有效控制。
 
此外,在真实世界研究中,我们也可以看到依拉环素在治疗CRAB感染中的优势。一项多中心、真实世界、观察性研究显示,依拉环素方案治疗CRAB感染患者的30天存活率可达78.1%[1]。另一项回顾性病例系列研究显示,依拉环素方案治疗CRAB肺炎的临床缓解率可达72%[2]。在免疫抑制的感染患者中,依拉环素方案治疗的30天存活率达81.3%,30天无复发率达90.7%[3]
 
图4. 依拉环素方案治疗CRAB感染
 
图5. 依拉环素方案治疗CRAB肺炎
 
图6. 依拉环素方案在免疫抑制感染者中的应用
 
在真实世界研究中,依拉环素可用于腹腔内感染、肺部感染、血流感染、骨关节感染、皮肤软组织感染、导管相关性感染等多种感染类型。依拉环素的循证医学证据充分,已获得IDSA耐药革兰阴性菌感染治疗指南、ESCMID多重耐药革兰阴性菌感染治疗指南、中国耐碳青霉烯类革兰阴性杆菌感染诊疗及防控指南等多个权威指南/共识推荐用于MDR菌感染的治疗。在未来的临床实践中依拉环素有望进一步扩大使用范围,满足更多的临床需求。
 
▌参考文献:
 
[1] Alosaimy S, Morrisette T, Lagnf AM, et al. Clinical Outcomes of Eravacycline in Patients Treated Predominately for Carbapenem-Resistant Acinetobacter baumannii. Microbiol Spectr. 2022;10(5):e0047922. doi:10.1128/spectrum.00479-22
 
[2] ID WEEK 2022-655 poster.
 
[3] ID WEEK 2022-633 poster.
 
 
巨春蓉 教授
 
广州医科大学附属第一医院
 
教授,主任医师,博士生导师,博士后合作导师
 
中华医学会 广东省器官移植分会第四届委员会副主委
 
广东省基层医药学会 免疫缺陷专委会主委
 
中华医学会 广东省呼吸病学分会 青年委员会副主委
 
中华医学会 器官移植分会 肺移植学组委员
 
中华医学会 器官移植分会 围手术期学组委员
 
国家卫健委 中国肺移植质控中心质控委员
 
国家卫健委中国肺移植 内科质控委员会副组长
 
中国器官移植发展基金会器官移植受者健康管理委员会委员
 
广东省胸部疾病学会心肺移植专业委员会常委
 
广东省弥漫性实质性肺疾病专业委员会副主委
 
中国医师协会 广东省危重症与感染学组委员
 
加拿大多伦多大学器官移植中心访问学者
 
广东省 第一批 医学青年领军人才
 
来源:《感染医线》
 
声 明
 
凡署名原创的文章版权属《感染医线》所有,欢迎分享、转载(开白可后台留言)。本文仅供医疗卫生专业人士了解最新医药资讯参考使用,不代表本平台观点。该等信息不能以任何方式取代专业的医疗指导,也不应被视为诊疗建议,如果该信息被用于资讯以外的目的,本站及作者不承担相关责任。
 
责任编辑:彭伟彬
相关搜索:  依拉环素

发表评论

提交评论
返回
顶部