优案医评丨把握时机,重拳出击,一例险象环生的重症肺炎诊治经过

感染医线 发表时间:2023/11/27 19:15:30

病例作者:陆军军医大学第二附属医院 刘双林教授
 
     陆军军医大学第二附属医院 罗娅医生
 
点评专家:陆军军医大学新桥医院 李琦教授
 
     空军军医大学西京医院 宋立强教授
 
编者按:军团菌是引起散发和流行性社区获得性肺炎的主要病原体之一,尤其是嗜肺军团菌在免疫功能受损人群中可引起重症肺炎,增加死亡风险。本期“优案医评”栏目特邀陆军军医大学第二附属医院刘双林教授分享一例骨髓增生异常综合征(MDS)伴军团菌感染患者的诊治经验,并邀请陆军军医大学新桥医院李琦教授和空军军医大学西京医院宋立强教授进行点评。该病例的诊治经验提示免疫功能低下的军团菌肺炎患者,可能合并CRAB等多重耐药细菌感染,经验性治疗应尽早使用依拉环素此类广谱、抗菌活性强、组织浓度高、联合用药有协同作用的抗菌药。
 
病例介绍
 
患者:唐某,男,59岁。
 
主诉:确诊MDS 8年,发热、咳嗽、气促2天。
 
入院日期:2023年06月28日。
 
现病史:8余年前,患者血常规示三系减低,完善骨穿后明确诊断为MDS,但未接受正规治疗。血常规(2023-05-02):白细胞计数(WBC)1.6×109/L、血红蛋白(Hb)40 g/L、血小板计数(PLT)56×109/L,胸腹部CT(2023-05-22)示:肺部散在感染灶,肝脏轮廓稍欠光整,脾脏体积增大,门脉高压。骨髓细胞示骨髓增生活跃,粒红巨三系查见病态造血现象,考虑MDS伴多系病态造血(MDS-MLD)。入院前2天(2023-06-26)因发热(Tmax 38.9℃)、咳嗽、咯痰、气促,伴头昏、乏力,无胸痛、咯血,无腹痛、腹泻,无尿频、尿急等,无皮肤破损等,于我院门诊查CT(2023-06-28)示:双肺感染与2023-05-22片比较明显加重,遂收入我院血液科。
 
既往史:入院前1月诊断糖尿病;入院前1月余(2023-05-02),左胫出现皮疹伴局部红肿、发热。左胫皮肤病理:皮肤溃疡伴真皮中性粒细胞浸润,坏疽性脓皮病可能性大。予抗感染、沙利度胺、激素抗炎、局部换药、成分输血、控制血糖等治疗后,左下肢皮疹好转,体温正常后出院。
 
个人史:有慢性乙肝病史8年余,否认近期曾到疫区;无烟酒等癖好;余无特殊。
 
体格检查:T:36.4℃,P:89次/分,RR:20次/分,BP:95/60 mmHg,扶入病房,精神差,重度贫血貌。双肺底闻少量湿啰音,心率89次/分。左胫前皮肤明显色素沉着、无破溃,双侧踝部轻度浮肿。其他腹部、神经系统查体无明显异常。
 
▌实验室检查:
 
血气分析:pH 7.54↑,PCO2:26 mmHg↓,PO2:73 mmHg(3 L/min,氧合指数243 mmHg)。
 
血常规:WBC 0.7×109/L,中性粒细胞绝对值0.57×109/L,Hb 66 g/L,PLT 76×109/L。
 
炎症标志物:C-反应蛋白(CRP)326.41 mg/L,降钙素原(PCT)0.45 ng/ml。
 
肝肾功:白蛋白31.8 g/L↓,前白蛋白44 mg/L↓,总胆红素28.2 μmol/L↑,直接胆红素11.1 μmol/L↑,乳酸脱氢酶387.2 IU/L↑;肾功未见明显异常。
 
凝血象:血浆凝血酶原时间18.7 sec↑、国际标准化比值1.62↑、D2聚体3.665 mg/L↑。
 
电解质:钠126.3 mmo1/L↓,氯95 mmol/L↓,HbA1c 8%。
 
G试验:46 pg/mL;呼吸道六项病原体(甲流、乙流、呼吸道合胞病毒、人鼻病毒、腺病毒、肺炎支原体)、新冠病毒核酸、结核抗体阴性;痰未查见真菌孢子及菌丝、未查见抗酸杆菌。
 
▌影像学检查:
 
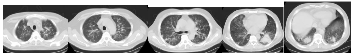
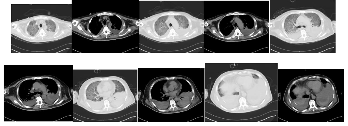
CT(2023-05-22):双肺存在散在的渗出病变,见图1。
 
CT(2023-06-28):双肺散在渗出进展为实性病变,下肺为主,见图2。
 
图1. 入院前胸部CT(2023-05-22)
 
图2. 门诊胸部CT(2023-06-28)
 
▌入院诊断:
 
1. 社区获得性肺炎,双肺
 
2. Ⅰ型呼吸衰竭
 
3. 骨髓增生异常综合征(MDS)
 
4. 慢性乙型病毒性肝炎
 
5. 2型糖尿病
 
6. 白细胞减少症
 
7. 中度贫血
 
8. 血小板减少症
 
9. 肝功能异常
 
10. 凝血功能异常
 
11. 低蛋白血症
 
12. 电解质紊乱(低钠血症、低氯血症)
 
入院后诊治过程
 
▌血液科治疗阶段
 
初始经验性治疗
 
患者社区发病,肺部新增感染病灶,考虑社区获得性感染,病毒相关检查为阴性,同时有粒细胞缺乏症,不排除合并侵袭性肺部真菌感染可能,初始经验抗感染方案予以头孢哌酮钠舒巴坦(3 g,q8h)、伏立康唑(200 mg,q12h)治疗,同时予以化痰、控制血糖、保肝、抑酸护胃、升白、成分输血、免疫支持(丙种球蛋白、胸腺法新)、维持水电解质酸碱平衡、营养支持等治疗;患者存在Ⅰ型呼吸衰竭,给予面罩吸氧改善呼吸衰竭。此外,积极完善病原学检查。
 
图3. 体温曲线
 
经过治疗,患者体温降至正常,气促有改善。但2天后(7月1日)再次出现发热38.6℃,咳嗽、气短加重,伴血痰。痰培养、血培养、PPD回示均为阴性。患者病情反复,为明确感染责任菌,7月4日行纤支镜检查,留灌洗液送检mNGS,并抽血送mNGS。次日(7月5日)灌洗液及血标本mNGS均回示嗜肺军团菌。
 
图4. 气管镜结果
 
图5. 支气管肺泡灌洗液mNGS结果
 
图6. 血mNGS结果
 
调整抗感染治疗
 
患者诊断军团菌肺炎明确,调整方案为美罗培南(1 g,q8h)+莫西沙星(0.4 g,qd),并停用伏立康唑。经过治疗,患者体温逐渐降至正常。
 
图7. 体温曲线
 
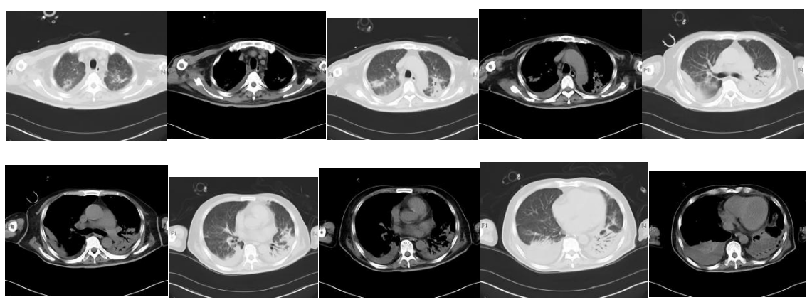
患者于7月10日上午出现口齿不清,但对答切题,无肢体活动障碍等。下午出现嗜睡,左侧肢体活动度较右侧差;伴气促加重。头颅CT:脑实质未见异常密度,双侧上颌窦炎,真菌感染可能。胸部CT:双肺感染较前加重,左上肺舌段、双下肺实变,双侧胸腔少量积液。
 
图8. 头颅CT(2023-07-10)
 
图9. 胸部CT(2023-07-10)
 
患者病情加重,组织相关科室行MDT。综合意见,诊断:(1)重症军团菌肺炎;(2)Ⅰ型呼吸衰竭;(3)MDS;(4)真菌性鼻窦炎;(5)颅内真菌感染?治疗方面,针对军团菌肺炎及肺部感染给予:莫西沙星+阿奇霉素+美罗培南;真菌性鼻窦炎及不能排除颅内真菌(毛霉菌)感染:改为艾沙康唑抗真菌。患者病情危重,于7月13日转入重症医学科。
 
▌重症医学科治疗阶段
 
继续莫西沙星+阿奇霉素+美罗培南+艾沙康唑抗感染治疗;呼吸衰竭加重,改为无创呼吸机呼吸支持治疗(CPAP 8cmH2O,FIO2=45%)。复查骨穿及骨髓活检,骨髓增生活跃(粒红比4.45 : 1.0),可见病态造血。血象见白细胞少,血小板减少,无核红细胞形态大小不一。骨髓活检免疫组化考虑MDS继发骨髓纤维化(MF,MF-2)。继续对症支持治疗。
 
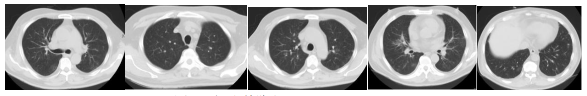
疗效评价:患者未再发热。神智清楚、言语欠清楚,左侧肢体肌力进一步下降。呼吸衰竭相对稳定,氧合指数维持在200 mmHg以上。血象无明显恢复,仍是持续粒细胞缺乏、中度贫血、血小板减少(波动在2万~5万)。7月28日复查胸部及头颅CT:双肺病变加重并出现双侧大量胸腔积液;右侧侧脑室、丘脑旁低密度,双侧上颌窦炎,真菌感染可能。再次行气管镜并送检灌洗液mNGs。并双侧胸腔置管引流,提示渗出性胸腔积液,留取胸水送检mNGS。灌洗液及胸水mNGs仍提示嗜肺军团菌。患者出现的肢体功能障碍,明确为脑梗塞导致,因患者持续存在血小板低下及凝血功能异常,未予抗凝及抗血小板治疗。
 
图10. 胸部CT(2023-07-28)
 
图11. 头颅CT(2023-07-28)
 
图12. 灌洗液mNGS结果
 
图13. 胸水mNGS结果
 
患者经过莫西沙星(23天)联合阿奇霉素(18天)抗军团菌治疗后,肺部病变仍进行性加重,且灌洗液mNGS军团菌序列数较前有进一步增加。分析可能原因有:(1)出现耐药;(2)患者持续存在粒细胞缺乏,自身免疫功能低下导致疗效不佳。
 
根据2023《临床常用四环素类药物合理应用多学科专家共识》[1],四环素类药物可以作为非典型病原菌引起的社区获得性肺炎的一线治疗药物,而目前临床上常用的几种四环素药物而言,替加环素容易导致肝功能异常及凝血功能异常,依拉环素在上皮衬液和肺泡巨噬细胞中浓度更高,且对碳青霉烯耐药鲍曼不动杆菌(CRAB)感染的疗效优于替加环素,而IDSA等指南并不推荐奥马环素治疗CRAB及CRE。对于本患者而言,有慢性乙肝病史8年余,有肝功损害及凝血功能损害表现,同时患者免疫力低下,目前在ICU治疗,有出现CRO等多重耐药菌院内获得性感染的高危因素,且mNGS显示有多种G-菌及非典型菌合并感染,因此,7月28日调整方案为左氧氟沙星(750 mg,qd)、依拉环素(50mg,q12h)、头孢哌酮舒巴坦、艾沙康唑抗感染治疗。随后,7月31日、8月3日、8月4日,多次培养提示多重耐药/泛耐药鲍曼不动杆菌(MDR/PDR-AB)阳性。考虑耐药感染严重,且为MDR/PDR-AB;体外研究显示依拉环素与多黏菌素等多种抗菌药针对CRKP、CRAB等具有协同相加作用[2],且患者肾功能良好,遂于8月3日调整为左氧氟沙星(750 mg,qd)、依拉环素(50 mg,q12h)、多黏菌素B、艾沙康唑抗感染治疗。
 
图14. 多次痰培养为CRAB
 
疗效观察:患者呼吸衰竭逐渐好转,予以脱机序贯经鼻高流量治疗(FIO2=30%,流速30 L/min,氧合指数维持在250左右)。精神较前好转。用药期间肝肾功能、凝血功能无明显异常。骨髓功能持续低下,持续粒细胞缺乏、血小板减少(波动在2万左右)、重度贫血状态。
 
8月10日,患者出现一过性右侧瞳孔散大。
 
8月11日,气管镜可见左右主支气管及双侧个叶段支气管黏稠少许分泌物,黏膜充血肿胀。双侧灌洗后送检mNGS,查见按蚊伊丽莎白金菌、铜绿假单胞菌、嗜肺军团菌及嗜麦芽窄食单胞菌。
 
8月5日、8月11日、8月14日,多次痰培养为铜绿假单胞菌。
 
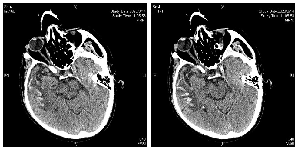
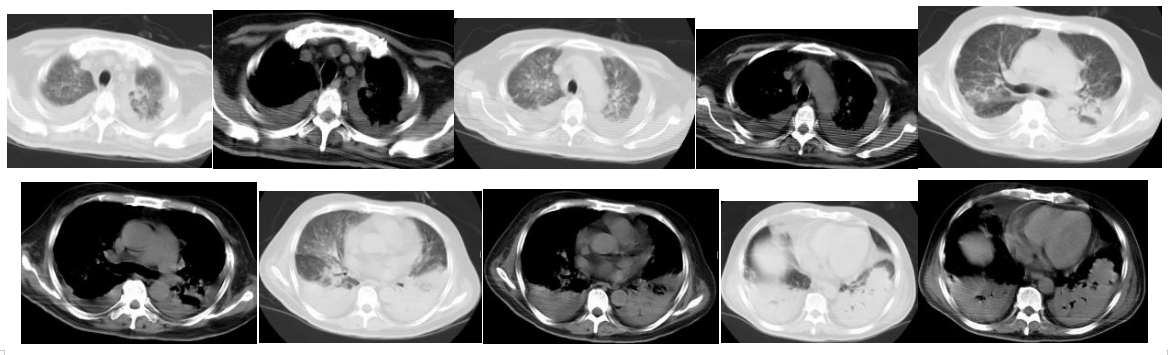
8月14日,复查影像学检查(依拉环素治疗14天),胸部CT:双肺感染较前吸收好转,双侧胸腔积液较前减少;头颅CT:右侧大脑半球低密度影范围较前增大,考虑脑梗塞并右侧颞叶出血可能,上颌窦炎,真菌感染可能。
 
图15. 胸部CT(2023-08-14)
 
图16. 头颅CT(2023-08-14)
 
图17. 多次痰培养为铜绿假单胞菌
 
图18. 灌洗液mNGS结果
 
患者一般情况及肺部病变吸收好转,病原学查见按蚊伊丽莎白金菌、铜绿假单胞、嗜肺军团菌及嗜麦芽窄食单胞菌,鲍曼不动杆菌被清除,培养出铜绿假单胞菌。调整抗感染方案为:哌拉西林他唑巴坦+多西环素+复方磺胺甲噁唑片+米卡芬净+更昔洛韦,后复查病原学检测,结果显示铜绿假单胞菌清除,停用抗感染治疗。患者一过性右侧瞳孔散大,考虑脑出血导致,予以白蛋白等脱水降颅压治疗,继续加强支持治疗和康复锻炼,拟择期转出ICU。
 
病例小结
 
军团菌肺炎病情进展快,病死率高达10%-15%,WHO公布的数据显示在免疫抑制患者中,死亡率可高达40%-80%。军团菌病的最佳治疗持续时间尚不确定,因所选用抗生素、患者病情严重程度和对治疗的反应而异;对于重度肺炎或同时患有其他慢性疾病的患者,可能见效较慢,通常需要治疗7~10日;对于有并发症(如,肺脓肿、脓胸或肺外感染)和免疫抑制的患者,通常需要延长治疗时间。当初始治疗方案无效时,可选择联合四环素类药物应对嗜肺军团菌,依拉环素治疗嗜肺军团菌和CRAB感染有良好的疗效和安全性。
 
在此例患者的治疗中,使用左氧氟沙星联合依拉环素治疗,使得军团菌负荷显著减小,CRAB得到病原学清除,且没有发现明显副作用。此外,对于此类免疫功能低下的多重耐药菌感染高危患者,在明确军团菌感染后的初始经验治疗中,或可第一时间选择依拉环素此类广谱、强效的抗菌药,尤其能够覆盖包括CRAB在内的CRO等多重耐药细菌。
 
名师点评
 
李琦 教授
陆军军医大学新桥医院
 
军团菌常见于免疫功能低下人群,军团菌CAP常合并多重耐药细菌感染,导致常规治疗失败而增加病死率[4]。因此,在经验性治疗中应选择抗菌谱广、抗菌活性强、组织浓度高、联合用药有协同作用的抗菌药。依拉环素是全球首个氟环素类抗菌药,在四环素核心D环上引入C-9位吡咯烷酰氨基和C7位氟原子修饰,可显著改变分子构象、药物解离常数(pKa)、活性、渗透性、代谢途径和药代动力学特性,使其具备前述抗菌药特点。
 
针对军团菌治疗,依拉环素可以覆盖,而且有较强的抗菌活性。体外研究显示依拉环素对常见G+菌、G-菌(包括不同β内酰胺耐药介导机制)、厌氧菌、分枝杆菌,以及支原体、衣原体、军团菌等非典型病原体均有抗菌活性[5-6];依拉环素对嗜肺军团菌的MIC50/MIC90仅为1/2μg/mL,MIC范围低至0.016~2μg/mL 相比四环素(4/8;0.5~8)低4倍[7]。除了抗菌谱广、活性强以外,依拉环素的组织浓度高,其肺泡上皮衬液中的浓度是替加环素的1.5倍[8];而且联合药敏试验显示针对CRO,依拉环素与多种抗菌联合应用具有协同和相加作用[9]。该例患者为重症军团菌肺炎,且存在免疫功能受损、初始经验治疗效果差、双肺多叶病灶等危险因素,如果能及时选择依拉环素此类广覆盖、抗菌活性强、肺组织浓度高、联合有协同作用的抗菌药,或可加快控制感染进展。
 
△依拉环素抗菌谱广,可覆盖常见多重耐药G-菌、G+菌及非典型病原体
 
对CRAB感染,最新的CHINET监测数据显示国内只有黏菌素、多黏菌素B和替加环素对CRAB保持较低的耐药率,对其他检测抗菌药的耐药率均高达70%以上[10]。然而,替加环素在常规推荐剂量下,肺组织的AUC不能满足耐药菌感染的治疗,而加大用药剂量则会增加凝血功能障碍、肝功能损伤、消化道副作用等不良事件发生率,美国FDA已经在其说明书中加入了替加环素治疗增加死亡风险的黑框警告[11]。另一方面,多黏菌素存在异质性耐药、毒副作用大等缺点,单药治疗效果差、负荷剂量给药导致肾毒性和神经毒性增加。本例患者有乙肝病史、肝功损害及凝血功能损害表现,不适宜选择替加环素治疗。
 
△依拉环素在血浆、肺泡上皮衬液(ELF)、肺泡巨噬细胞(AM)中的浓度均高于替加环素
 
依拉环素在治疗CRAB方面的优势凸显。中国CRO防治指南在CRAB肺部感染的治疗推荐中指出,与替加环素相比,依拉环素在肺组织中的浓度更高,不良事件发生率更低,因而更具优势[12]。全球药敏数据显示,依拉环素对鲍曼不动杆菌的体外抗菌活性是替加环素的4倍[13];体外研究显示依拉环素对CRAB的抗菌活性是奥马环素的8倍[14],表明依拉环素对CRAB具有较强的抗菌活性;而真实世界研究也证实了依拉环素治疗CRAB感染的价值,在治疗CRAB肺炎等多种感染类型中,依拉环素表现出高症状缓解率、高存活率与低复发率、耐受性良好[15-19]。本例重症肺炎患者的CRAB感染经过依拉环素治疗后,培养转为阴性,双肺感染较前吸收好转,双侧胸腔积液较前减少,显示了依拉环素治疗CRAB重症肺炎的积极疗效和安全性。
 
名师点评
 
宋立强 教授
空军军医大学西京医院
 
祝贺患者救治成功背后的卓越团队,感谢该团队在让大家学习和借鉴的同时,提供描述如此细致的诊疗过程其目的一定是为了在下一个重症患者的救治过程中,大家能够少走弯路、事半功倍,从而直达预期救治目标。患者存在长期的MDS及免疫功能低下,因此从早期的坏疽性脓皮病,到1个月前轻度肺部渗出;从本次的军团菌CAP、真菌性上颌窦炎,到监护室出现CRAB相关HAP,继发感染始终是患者不得不长期面对的MDS合并症。预防感染、早期诊断和早期干预一定是患者感染问题的基本原则,特别是早期的抗感染方案力争起始充分,提示临床在谨慎选择传统抗菌药物的同时,需要将目光转向新型抗菌药物。
 
成人军团菌肺炎的常用药物包括氟喹诺酮类或大环内酯类抗菌药等。随着大环内酯类和氟喹诺酮类耐药率的增加,新型四环素类抗菌药不断被开发。依拉环素相比替加环素,最主要的药物优势有两方面:(1)抗菌活性强,对CRAB和CRE的体外抗菌活性比替加环素高2~8倍。替加环素对CRAB的最低抑菌浓度(MIC)在4mg/L左右,临床上进行药敏实验时经常会出现敏感或中介/耐药“左右摇摆”的情况,刚好在折点附近漂移,所以很容易出现药敏试验误差。(2)组织浓度更高,从PK/PD研究中可以看到,依拉环素在腹部、心肺、骨和脑等多种组织中都能够达到靶浓度,推荐剂量下的用药即可达到较高的临床成功率。
 
上述病例的诊治过程表明,需警惕免疫功能低下的军团菌感染患者可能合并多重耐药细菌感染,在初始经验治疗中应该抢占治疗时机,首选依拉环素此类抗菌谱广、抗菌活性强、组织浓度高、联合用药有协同作用的抗菌药。
 
综上所述,本病例引发对众多四环素类抗菌药物的临床选择的思考。重点需要考量以下几个因素:(1)病原体的种类、耐药情况;(2)感染的部位;(3)病情的程度;(4)药物的剂型;(5)卫生经济学。本例患者在难治性军团菌CAP与CRAB相关HAP交织之时,选择了依拉环素为基础的联合治疗,取得预期临床效果,值得借鉴。
 
参考文献
 
[1] 临床常用四环素类药物合理应用多学科专家共识编写组,中华预防医学会医院感染控制分会,中国药理学会临床药理分会.临床常用四环素类药物合理应用多学科专家共识[J].中华医学杂志,2023,103(30):2281-2296.DOI:10.3760/cma.j.cn112137-20230313-00389.
 
[2] Li Y, Cui L, Xue F, Wang Q, Zheng B. Synergism of eravacycline combined with other antimicrobial agents against carbapenem-resistant Enterobacteriaceae and Acinetobacter baumannii. J Glob Antimicrob Resist. 2022;30:56-59. doi:10.1016/j.jgar.2022.05.020
 
[3]瞿介明,曹彬.中国成人社区获得性肺炎诊断和治疗指南(2016年版)[J].中华结核和呼吸杂志,2016,39(04):253-279.
 
[4]Beauté J. Legionnaires’disease in Europe, 2011 to 2015[J]. EuroSurveill, 2017, 22(27): . DOI:10.2807/1560- 7917.ES.2017.22.27.30566.
 
[5]Alosaimy S, Abdul-Mutakabbir JC, Kebriaei R, Jorgensen SCJ, Rybak MJ. Evaluation of Eravacycline: A Novel Fluorocycline. Pharmacotherapy. 2020;40(3):221-238.
 
[6]The Sanford guide to antimicrobial therapy (52th 2022 Edition).
 
[7]Sutcliffe JA, O'Brien W, Fyfe C, Grossman TH. Antibacterial activity of eravacycline (TP-434), a novel fluorocycline, against hospital and community pathogens. Antimicrob Agents Chemother. 2013;57(11):5548-5558. doi:10.1128/AAC.01288-13
 
[8]Bhavnani SM, Rubino CM, Hammel JP, et al. Pharmacokinetic-Pharmacodynamic (PK-PD) and Dose Selection Analyses for Eravacycline Using Phase 2 Data from Patients with Community-Acquired Complicated Intra-Abdominal Infections (cIAI). Permitted character count: 2200 (250 for a table plus 1950 for text) Actual character count: 2244.
 
[9]Li Y, Cui L, Xue F, Wang Q, Zheng B. Synergism of eravacycline combined with other antimicrobial agents against carbapenem-resistant Enterobacteriaceae and Acinetobacter baumannii. J Glob Antimicrob Resist. 2022;30:56-59. doi:10.1016/j.jgar.2022.05.020
 
[10]CHINET 2023年上半年细菌耐药监测结果.www.chinets.com
 
[11]FDA Drug Safety Communication: FDA warns of increased risk of death with IV antibacterial Tygacil (tigecycline) and approves new Boxed Warning.https://www.fda.gov/drugs/drug-safety-and-availability/fda-drug-safety-communication-fda-warns-increased-risk-death-iv-antibacterial-tygacil-tigecycline
 
[12]Zeng M, Xia J, Zong Z, et al. Guidelines for the diagnosis, treatment, prevention and control of infections caused by carbapenem-resistant gram-negative bacilli. J Microbiol Immunol Infect. 2023;56(4):653-671. doi:10.1016/j.jmii.2023.01.017
 
[13] Hawser S, Kothari N, Monti F, Morrissey I, Siegert S, Hodges T. In vitro activity of eravacycline and comparators against Gram-negative and Gram-positive bacterial isolates collected from patients globally between 2017 and 2020. J Glob Antimicrob Resist. 2023;33:304-320. doi:10.1016/j.jgar.2023.04.017
 
[14]Liu PY, Ko WC, Lee WS, et al. In vitro activity of cefiderocol, cefepime/enmetazobactam, cefepime/zidebactam, eravacycline, omadacycline, and other comparative agents against carbapenem-non-susceptible Pseudomonas aeruginosa and Acinetobacter baumannii isolates associated from bloodstream infection in Taiwan between 2018-2020. J Microbiol Immunol Infect. 2022;55(5):888-895. doi:10.1016/j.jmii.2021.08.012
 
[15]Sara Alosaimy, PharmD, BCPS and others, 1577. Real-World, Multicenter Experience with Eravacycline for Various Infections, Open Forum Infectious Diseases, Volume 7, Issue Supplement_1, October 2020, Page S787, https://doi.org/10.1093/ofid/ofaa439.1757
 
[16]Van Hise N, Petrak RM, Skorodin NC, et al. A Real-World Assessment of Clinical Outcomes and Safety of Eravacycline: A Novel Fluorocycline. Infect Dis Ther. 2020;9(4):1017-1028. doi:10.1007/s40121-020-00351-0
 
[17]Hobbs ALV, Gelfand MS, Cleveland KO, Saddler K, Sierra-Hoffman MA. A retrospective, multicentre evaluation of eravacycline utilisation in community and academic hospitals. J Glob Antimicrob Resist. 2022;29:430-433. doi:10.1016/j.jgar.2021.10.020
 
[18]Alosaimy S, Morrisette T, Lagnf AM, et al. Clinical Outcomes of Eravacycline in Patients Treated Predominately for Carbapenem-Resistant Acinetobacter baumannii. Microbiol Spectr. 2022;10(5):e0047922. doi:10.1128/spectrum.00479-22
 
[19]Melissa N Jackson, PharmD and others, 655. Combination Eravacycline Therapy for Carbapenem-Resistant Acinetobacter baumannii Pneumonia, Open Forum Infectious Diseases, Volume 9, Issue Supplement_2, December 2022, ofac492.707, https://doi.org/10.1093/ofid/ofac492.707
 
 
李琦 教授
 
陆军军医大学新桥医院呼吸与危重症医学中心
 
教授、主任医师、博导、享受国务院政府特殊津贴专家
 
全军呼吸内科专委会副主委、感染学组组长
 
中华医学会呼吸病学分会呼吸治疗学组副组长
 
中华医学会细菌感染与耐药防治分会委员
 
中国医师协会呼吸医师分会常委、重症医师分会和内科学分会委员
 
中国老年保健研究会呼吸病学分会副主委
 
中国健康促进与教育协会县域呼吸专业委员会常委
 
重庆市医学会呼吸病学分会主委、重症医学分会副主委和细菌感染与耐药防治分会常委;重庆市医师协会重症医师分会副会长
 
重庆市中西医结合协会理事
 
重庆市基层呼吸疾病防治联盟执行主席
 
重庆英才 · 名医名师
 
中华内科杂志、中华结核和呼吸杂志、解放军医学杂志和中国呼吸与危重监护杂志等期刊编委
 
 
宋立强 教授
 
空军军医大学西京医院呼吸与危重症医学科主任
 
博士,主任医师,教授,博士研究生导师
 
担任中华医学会呼吸病学分会呼吸治疗学组委员、中国医师协会呼吸医师分会危重症工作委员会委员、中国老年保健研究会呼吸专委会副主任委员、陕西省呼吸医师分会常委等学术职务。牵头成立了西北呼吸危重症联盟及西京医院呼吸机培训学院。曾赴美国盐湖城IMC医学中心学习重症监护医学1年。承担国家自然科学基金资助课题4项、陕西省社会发展科技攻关项目及自然科学基金资助重点课题6项,发表论著72篇,参编著作18部。参与课题获得陕西省科技进步奖一、二及三等奖各1项。
 
 
刘双林 教授
 
陆军军医大学第二附属医院呼吸与危重症医学中心,重症医学科主任助理,主任医师,从事呼吸危重症的救治
 
中华医学会呼吸病学分会胸膜与纵隔疾病学组(筹)委员
 
中国老年医学学会呼吸病学分会呼吸治疗与肺康复学术工作委员会委员,呼吸病学分会青年委员会委员
 
中国老年学和老年医学学会老年呼吸与危重症医学分会常委
 
重庆健康促进与教育学会复苏与生命支持专委会主任委员
 
重庆市生理科学会危重病医学专委会第四届委员会副主任委员
 
重庆市医师协会重症医学医师分会第二届委员会常委
 
重庆市医学会重症医学分会第五届委员会委员
 
重庆市医师协会呼吸医师分会第一届委员会呼吸危重症与呼吸治疗工作组副组长
 
 
罗娅 医师 医学博士
 
新桥医院呼吸与危重症医学中心
 
主要从事利用多组学研究呼吸系统疾病的机制及临床转化,以第一作者(含共同)发表SCI论文4篇,分别发表在Theranostics、Front Genet、Biomed Environ Sci、 Clin Drug Investig杂志,发表中文核心期刊2篇。作为主要发明人发表专利一项,参研国家重大项目、医学科学创新基金、国家自然基金面上项目。
 
来源:《感染医线》
 
声 明
 
凡署名原创的文章版权属《感染医线》所有,欢迎分享、转载(开白可后台留言)。本文仅供医疗卫生专业人士了解最新医药资讯参考使用,不代表本平台观点。该等信息不能以任何方式取代专业的医疗指导,也不应被视为诊疗建议,如果该信息被用于资讯以外的目的,本站及作者不承担相关责任。
 
责任编辑:彭伟彬
相关搜索:  重症肺炎

发表评论

提交评论
返回
顶部