微像馆丨内科胸腔镜锁定胸膜曲霉感染病灶

感染医线 发表时间:2024/2/8 14:44:02

编者按:胸膜曲霉病(Pleural aspergillosis,PA)是侵袭性曲霉病(IA)的一种罕见表现。目前仅为散在的个案报道。相较于一般性PA常发生于免疫功能受损人群不同的是,PA也可发生于免疫正常人群,临床表现并不典型,临床容易漏诊或误诊。中山大学附属第一医院呼吸与危重症医学科廖槐教授团队在《临床微生物和感染》(Clin Microbiol Infect)发表的文章中,介绍了一例通过内科胸腔镜明确PA诊断的患者。
 
 
病例分享
 
一名16岁男孩到急诊就诊,主诉过去10天持续右侧胸部不适和呼吸困难。
 
患者既往健康状况良好,但3个月前曾因发热和伴有黄色痰的干咳而住院。
 
查体右胸部的声音震颤和呼吸音减弱。
 
胸部CT显示右侧气胸,靠近心尖处有水泡影,胸膜弥漫性增厚。
 
通过胸腔闭式引流排出空气和少量脓液。胸腔积液分析显示:白细胞计数(1566×106/L)、乳酸脱氢酶(5094U/L)和腺苷脱氨酶(56.3U/L)显著升高,同时血糖水平极低(0.1mmol/L),提示脓胸的诊断。
 
宏基因组二代测序(mNGS)在渗出液中检测到烟曲霉的单一序列,但被认为是污染,因为β-D-葡聚糖和半乳甘露聚糖检测均为阴性。
 
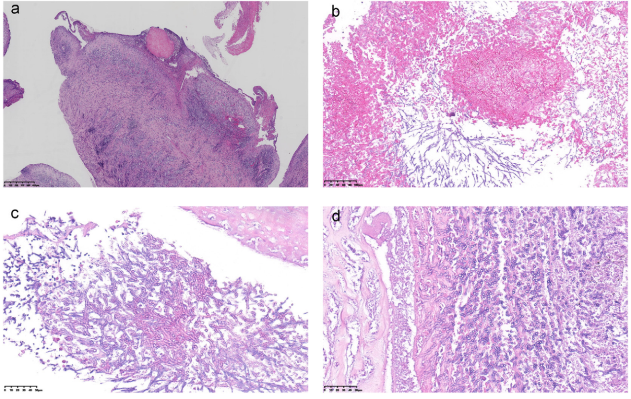
遂进行胸腔镜检查以明确根本原因。在心尖脏层胸膜和右膈附近的壁层胸膜上可见黄色乳酪样病变,伴有弥漫性胸膜增厚(图1)。
 
 
组织活检标本组织学显示慢性肉芽肿性炎症,菌丝类似曲霉(图2)。组织培养证实为烟曲霉感染。
 
 
尽管复发性气胸已被报道为一种潜在的病因,但胸膜曲霉病在免疫功能正常的个体中并不常见,这例患者甚至连mNGS也没有检测出有意义的病原体信息。胸腔镜的应用和随后的组织学检查在明确诊断中起到了关键作用。胸腔镜检查以前被认为是一种可行的治疗选择。然而,患者通过口服伏立康唑和胸膜内注射两性霉素B获得治愈。
 
知识扩展
 
关于胸膜曲霉病
 
胸膜曲霉病(PA)是侵袭性曲霉病的一种罕见表现,在胸腔积液患者中,真菌性病因的比例不到5%[2]。活动性或既往结核、支气管胸膜瘘、胸腔引流和肺切除术被认为是胸膜腔曲霉菌感染的主要诱发因素。奇怪的是,侵袭性肺曲霉病的经典危险因素,主要是免疫抑制,似乎并不是胸膜曲霉病发展的必要条件。
 
由于发病罕见,PA的最佳治疗方法尚未确定。除了常规的全身抗真菌治疗和胸腔引流外,局部胸腔滴注抗真菌药物(两性霉素B单药或联合棘白素类)已被成功应用,尤其是在持续胸膜真菌感染的患者中。与抗真菌药物相关的副作用处理、未能识别和手术纠正原发性肺缺陷或未能控制下层肺疾病都是这些患者发病和潜在死亡的可能原因。
 
关于内科胸腔镜
 
内科胸腔镜(medical thoracoscopy),也称“胸膜腔镜”,是应用内窥镜穿过胸壁直接观察胸膜及胸膜腔的一种侵入性检查,临床上常用于胸腔积液诊断、胸膜活检以及胸膜固定术。最常用于原因不明的胸腔积液的病因检查。如果胸腔积液经过常规检查及胸腔穿刺等方式仍不能明确原因,可考虑进行内科胸腔镜检查。如果怀疑有肿瘤或胸腔的感染,也可以通过胸腔镜检查获得更加明确的诊断,同时也可以取到更多组织进行病理检查。除此以外,内科胸腔镜也可以运用于部分肺活检或者肺结节活检及肺大泡、自发性气胸的治疗。
 
 
已有报道认为,外科手术(如肺叶切除术和胸廓成形术)治疗胸膜曲霉菌病可能会过度侵入性,并可能严重影响患者的生活质量,但胸腔镜下胸膜剥脱术和/或胸骨切开术等侵入性较小的胸膜腔操作,可能是PA潜在的有效治疗方法[3]。
 
▌参考文献:
 
[1]Huang XY, Kuang YK, Liu QH, Liao H. Pleural aspergillosis in an otherwise healthy patient diagnosed by medical thoracoscopy. Clin Microbiol Infect. Published online January 3, 2024. doi:10.1016/j.cmi.2023.12.031
 
[2]Abreu I, Guedes M, Duro R, Lopes S, Maciel J, Santos L. Pleural aspergillosis in a patient with recurrent spontaneous pneumothorax: The challenge of an optimal therapeutic approach. Med Mycol Case Rep. 2020;28:4-7. Published 2020 Feb 24. doi:10.1016/j.mmcr.2020.02.004
 
[3]Ichikawa H, Doi R, Matsumoto K, et al. Spontaneous pleural aspergillosis in an immunocompetent young adult treated with minimally invasive surgery. Respir Med Case Rep. 2023;44:101869. Published 2023 May 11. doi:10.1016/j.rmcr.2023.101869
 
来源:《感染医线》
 
声 明
 
凡署名原创的文章版权属《感染医线》所有,欢迎分享、转载(开白可后台留言)。本文仅供医疗卫生专业人士了解最新医药资讯参考使用,不代表本平台观点。该等信息不能以任何方式取代专业的医疗指导,也不应被视为诊疗建议,如果该信息被用于资讯以外的目的,本站及作者不承担相关责任。
 
责任编辑:彭伟彬
相关搜索:  胸膜曲霉

发表评论

提交评论
返回
顶部